BV có Trung tâm Phẫu thuật nội soi "xuất sắc" đầu tiên tại VN: Cứu người phụ nữ bị ung thư bằng nội soi 3D

Hoàng Lê,  
ava SK

ava SK

Người phụ nữ bị bệnh ở thận đã lâu nhưng đi khám nhiều nơi đều được thông báo là "mụn nước lành tính". Mãi đến khi đi khám sức khỏe định kỳ và phát hiện khối nang thận bên phải là khối u ác tính, bệnh nhân mới biết mình bị ung thư thận.

Tháng 11 vừa qua, Trung tâm Huấn luyện Phẫu thuật nội soi (PTNS) Bệnh viện Đại học Y Dược TP.HCM (BV ĐHYD) đã trở thành nơi đầu tiên tại Việt Nam được Hội PTNS và nội soi châu Á công nhận là "Center of Excellence".

Đây là thành quả của sự nỗ lực không ngừng nghỉ mà BV đã thực hiện trong việc phát triển các kỹ thuật nội soi hiện đại, hiệu quả cứu chữa bệnh nhân.

BV có Trung tâm Phẫu thuật nội soi xuất sắc đầu tiên tại VN: Cứu người phụ nữ bị ung thư bằng nội soi 3D - Ảnh 1.

Đại diện BV ĐHYD (trái) nhận chứng nhận "Center of Excellence" từ ELSA.

Cứu người phụ nữ ung thư thận bằng PTNS 3D

Cách đây không lâu, bà N.T.M.T (69 tuổi, ngụ TP.HCM) đến BV ĐHYD khám trong tình trạng thận bên phải có vấn đề. Bệnh nhân cho biết đã phát hiện nang thận bên phải trước đó nhưng khám nhiều nơi đều cho kết quả là "mụn nước lành tính".

Không an tâm nên lần này, bà quyết định siêu âm để kiểm tra lại tình trạng của nang thận. Sau khi thăm khám trực tiếp, BS quyết định cho bệnh nhân chụp cắt lớp vùng bụng. Kết quả phát hiện khối nang ác tính 5cm ở thận bên phải. Tình trạng này buộc bệnh nhân phải phẫu thuật cắt bỏ khối u nếu không muốn mọi thứ tệ hơn.

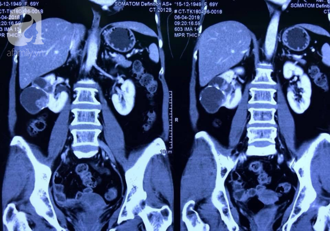
BV có Trung tâm Phẫu thuật nội soi xuất sắc đầu tiên tại VN: Cứu người phụ nữ bị ung thư bằng nội soi 3D - Ảnh 2.

Hình chụp CT khối u thận của bệnh nhân.

TS.BS Nguyễn Hoàng Đức, Trưởng khoa Tiết niệu BV và cũng là người trực tiếp điều trị cho bệnh nhân đã quyết định áp dụng phẫu thuật nội soi 3 chiều để cắt bỏ khối u thận mà vẫn bảo tồn được phần thận chưa bị tổn thương.

Bệnh nhân đã may mắn khi được xử lý kịp thời khi khối ung thư thận chưa phát triển đến mức phải cắt bỏ toàn bộ thận phải.

Nang thận là thuật ngữ để chỉ những "túi dịch" đơn độc ở thận. Nang thận đơn giản chiếm tỷ lệ 25% dân số ở độ tuổi 40 và 50% dân số ở độ tuổi trên 50. Nguyên nhân chính xác gây ra bệnh lý này chưa được khoa học xác định rõ.

Đa số nang thận đơn giản không gây đau, không ảnh hưởng đến hoạt động chức năng của thận nên người bệnh hoàn toàn có thể chung sống hòa bình, theo dõi định kỳ mỗi 6 tháng mà không cần điều trị gì thêm.

BV có Trung tâm Phẫu thuật nội soi xuất sắc đầu tiên tại VN: Cứu người phụ nữ bị ung thư bằng nội soi 3D - Ảnh 3.

Các BS tiến hành phẫu thuật nội soi 3D cắt u thận.

Tuy nhiên có khoảng 5% nang thận đơn giản trở nên phức tạp vì bên trong nang có chứa các tế bào ung thư. Do đó khi siêu âm thận kiểm tra định kỳ, người bệnh nên đến các cơ sở khám chữa bệnh uy tín để được thăm khám bởi các bác sĩ có chuyên môn và kinh nghiệm.

Với số lượng gần 300 trường hợp được điều trị thành công, BV ĐHYD là nơi đầu tiên tại Việt Nam ứng dụng phẫu thuật nội soi 3 chiều trong phẫu thuật tiết niệu, điều trị các bệnh lý phức tạp như: cắt bướu thận bảo tồn thận, cắt bỏ bàng quang do ung thư, cắt bỏ tuyến tiền liệt do ung thư, tạo hình dị dạng đường tiết niệu.

Điểm vượt trội của phương pháp này là với ống kính 3 chiều, trong các phẫu thuật phức tạp, phẫu thuật viên có thể quan sát rõ các chi tiết, kiểm soát tình huống tốt hơn, rút ngắn thời gian phẫu thuật và giảm tai biến cho người bệnh.

Bệnh viện Việt đầu tiên được Hội PTNS uy tín thế giới công nhận "xuất sắc"

PGS.TS.BS Nguyễn Hoàng Bắc, Giám đốc BV ĐHYD cho biết, việc được chứng nhận "Center of Excellence" là minh chứng rõ nét nhất cho chất lượng giảng dạy của Trung tâm Huấn luyện PTNS của BV.

Các yếu tố cơ sở vật chất, chương trình giảng dạy, trình độ chuyên môn của đội ngũ giảng viên đều đã đạt chuẩn quốc tế.

BV có Trung tâm Phẫu thuật nội soi xuất sắc đầu tiên tại VN: Cứu người phụ nữ bị ung thư bằng nội soi 3D - Ảnh 4.

BV ĐHYD TP.HCM là nơi đầu tiên tại Việt Nam có Trung tâm Huấn luyện PTNS đạt chuẩn "xuất sắc" của ELSA.

Hội Phẫu thuật nội soi và Nội soi Châu Á (ELSA) là một hội chuyên khoa về PTNS lớn và uy tín của thế giới.

Tại Hội nghị thường niên năm 2018 của ELSA được tổ chức tại Kuala Lumpur (Malaysia), quy tụ nhiều phẫu thuật viên và chuyên gia PTNS từ các nước châu Á và thế giới, nhóm chuyên gia BV ĐHYD đã trình bày 5 báo cáo khoa học và được mời giảng dạy về phẫu thuật đường mật trong chương trình hội thảo tiền hội nghị.

Bên cạnh đó, đội phẫu thuật viên của Việt Nam đã vượt qua 14 đối thủ đến từ các quốc gia để đoạt Cúp Vô địch trong cuộc thi ELSA Olympic Games về kỹ năng thực hành PTNS trên mô hình.

BV có Trung tâm Phẫu thuật nội soi xuất sắc đầu tiên tại VN: Cứu người phụ nữ bị ung thư bằng nội soi 3D - Ảnh 5.

BV ĐHYD đoạt Cúp Vô địch trong cuộc thi ELSA Olympic Games.

Năm 2003, Trung tâm huấn luyện PTNS BV ĐHYD được thành lập. Đây là trung tâm đào tạo và huấn luyện PTNS đầu tiên trên cả nước.

Từ đó đến nay, Trung tâm đã giảng dạy cho hơn 1600 phẫu thuật viên trong nước và hơn 700 phẫu thuật viên nước ngoài. Chất lượng giảng dạy của Trung tâm được học viên tin tưởng và đánh giá cao vì ứng dụng nhiều kỹ thuật tiên tiến, số lượng PTNS nhiều, phong phú đa dạng.

Các loại PTNS được giảng dạy thường xuyên tại Trung tâm từ cơ bản đến nâng cao, như PTNS đại trực tràng, đường mật, thoát vị, dạ dày, gan, thực quản, khớp, tiết niệu, lồng ngực…

BV có Trung tâm Phẫu thuật nội soi xuất sắc đầu tiên tại VN: Cứu người phụ nữ bị ung thư bằng nội soi 3D - Ảnh 6.

Trung tâm huấn luyện PTNS của BV ĐHYD đã giảng dạy cho hơn 1.600 phẫu thuật viên trong nước và hơn 700 phẫu thuật viên nước ngoài.

Đội ngũ Thầy giáo – Thầy thuốc của Trung tâm là những chuyên gia đầu ngành, giàu kinh nghiệm giảng dạy trong và ngoài nước, thường xuyên báo cáo tại các hội nghị ngoại khoa uy tín. Đặc biệt, nhiều giảng viên của Trung tâm đã đạt giải thưởng quốc tế.

PGS Bắc mong muốn trong tương lai, Trung tâm sẽ tiếp tục phát huy những thế mạnh sẵn có nhằm nâng cao chất lượng giảng dạy, tăng cường hội nhập quốc tế bằng việc liên kết với các trung tâm huấn luyện PTNS lớn trên thế giới.

Từ đó đưa ngành PTNS nói riêng và nền y khoa nước nhà tiến xa trên bản đồ y khoa thế giới.

NỔI BẬT TRANG CHỦ