Sưng và chảy nước mắt nhiều tháng liền mà vẫn chủ quan, đến khi đi khám người phụ nữ mới té ngửa vì thứ này trong mắt suốt 28 năm
kính áp tròng
Trong 6 tháng mắt liên tục bị sưng và chảy nhiều nước mắt vậy mà người phụ nữ 42 tuổi ấy vẫn xem nhẹ và chủ quan không đi khám.
- Sáng tiễn con đi học, bố mẹ không thể ngờ lại mất con trai 10 tuổi chỉ vì lý do không đáng này
- Có một sở thích giống nhau đến kỳ lạ giữa cố Công nương Diana và con dâu Meghan khiến người hâm mộ vô cùng thích thú
- Cười ra nước mắt với các "thánh sống ảo" đăng đàn nhờ chỉnh sửa ảnh ai ngờ nhận về sản phẩm làm trò cười cho cả thiên hạ
Không thể phủ nhận rằng kính áp tròng là món đồ "thần thánh" dành cho các chị em muốn xinh đẹp lung linh nhưng chẳng may bị cận. Vì chỉ cần đeo chiếc kính áp tròng vào thì chẳng cần cặp mắt kính dày cộp nữa mà đôi mắt lại thêm phần long lanh đầy quyến rũ. Nhưng trong một số trường hợp, thay vì làm cho cuộc sống của chúng ta dễ dàng hơn, chúng có thể gây phiền toái. Bởi kính áp tròng lại là thứ tiếp xúc trực tiếp với mắt, nếu sử dụng không đúng cách hoặc lạm dụng quá mức thì có thể gây hậu quả khôn lường.
Mới đây, trong báo cáo y học đăng trên tạp chí BMJ Case Reports, bác sĩ Sirjhun Patel, Lai-Ling Tan và Helen Murgatroyd làm việc tại Bệnh viện Ninewells đã kể lại một trường hợp vô cùng hy hữu về người phụ nữ 42 tuổi đến từ Dundee (Scotland) để quên kính áp tròng trong mắt suốt 28 năm mà không hay biết.

Trong 6 tháng người phụ nữ bị sưng và chảy nhiều nước mắt nhưng không đi khám luôn - Ảnh minh họa.
Theo đó, khoảng 6 tháng trước đó, bệnh nhân nữ này bị sưng mắt trái và liên tục chảy nước mắt nhưng vẫn chủ quan không đi khám. Cho đến gần đây, khi đã quá khó chịu, người phụ nữ mới chịu đến gặp bác sĩ để kiểm tra.
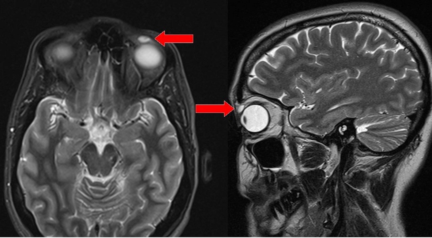
Sau khi thăm khám và chụp MRI, các bác sĩ chuẩn đoán có một khối u nang đường kính 6mm ở trong mắt người phụ nữ này vì vậy họ lên kế hoạch phẫu thuật để loại bỏ nó. Tuy nhiên, đến khi tiến hành mổ mắt bác sĩ mới giật mình thảng thốt vì đó không phải khối u mà là vật thể lạ gì đó. Họ phải hết sức cẩn thận gỡ ra và phát hiện đó chính là một chiếc kính áp tròng.

Ban đầu các bác sĩ còn tưởng là khối u trong mắt người phụ nữ.
Lúc này, người phụ nữ cũng thấy hoang mang vì cô khẳng định rằng trong suốt nhiều năm qua cô không hề sử dụng kính áp trong và không hiểu vì sao nó có thể lọt vào mắt cô như vậy. Tuy nhiên, sau đó mẹ của người phụ nữ mới nhớ ra rằng vào năm 14 tuổi, cô thích chơi cầu lông và bị quả cầu bay đập vào mắt. Nhưng khi đó cô nghĩ rằng chiếc kính áp tròng đã rơi ra rồi nên không để ý, ai ngờ cú va đập đó đã khiến chiếc kính ăn sâu vào mắt và yên vị ở đó suốt 28 năm mà chủ nhân không hay biết.

Ảnh minh họa.
Trước đó, hồi tháng 7 năm 2017, một phụ nữ 67 tuổi cũng khiến cả giới y học phải kinh ngạc khi đeo tới 27 chiếc kính áp tròng suốt 35 năm mà không tháo ra. Sau khi cảm thấy khó chịu ở mắt, người phụ nữ mới tới bệnh viện để khám. Tại đây, các bác sĩ đã vô cùng kinh ngạc khi tìm thấy tổng cộng 27 chiếc kính áp tròng trong mắt của bà. Trường hợp hy hữu này đã được các bác sĩ của Bệnh viện Solihull, Birmingham, Anh Quốc tiếp nhận vào tháng 11/2016. Tuy nhiên, đến tháng 7 năm ngoái mới được công bố trên tạp chí Y học của Anh.
Bác sĩ Rupal Morjaria cho biết đây là trường hợp hy hữu nhất mà ông từng thấy trong sự nghiệp làm ngành y của mình. Những chiếc kính áp tròng bám chặt lại thành một cục lớn. Trong đó, 17 chiếc dính liền với nhau, 10 chiếc còn lại thì nằm rải rác trong mắt.
Điều khiến người ta thắc mắc là tại sao người phụ nữ không hề nhận ra dấu hiệu bất thường của đôi mắt mình mặc dù cảm giác bị dính kính áp tròng ở mắt rất khó chịu. Theo lời kể của bệnh nhân, bà đã đeo kính áp tròng loại 1 tháng suốt 35 năm nay nhưng lại không tháo ra theo định kỳ.
(Nguồn: Oddity central)
NỔI BẬT TRANG CHỦ
-
Intel Core Ultra 5 tự nhận là Core Ultra 7 chỉ vì đổi bo mạch GIGABYTE
Số nhân vẫn hiển thị đúng 18, trong khi Core Ultra 7 270K Plus thực có tới 24 nhân, cho thấy đây chỉ là lỗi tên chip trong BIOS chứ không ảnh hưởng hiệu năng.
-
Facebook "nhuộm đen trắng" hàng loạt ảnh vừa đăng sáng nay, người dùng Việt ngơ ngác không hiểu chuyện gì